歯科治療で用いる金属の一部には、金属アレルギーをひきおこす原因になるものがあります。
金属アレルギーは口の中や口の周辺に症状がでるケースと、身体全体に症状がでるケースの2通りに分けられます。
口の中や口の周辺部位に症状がでる場合には以下の病気を発症することがあります。
口内炎が頻繁に口の中にできるほか、舌炎を発症する場合もあります。
口の両サイド(口角)が炎症をおこして赤く腫れたり、口角が切れる、唇周辺が赤くただれる、などの症状がでることがあります。
口腔扁平苔癬とは口の中の粘膜、特に頬の内側部分の粘膜に網の目(レース状)の模様や白い線ができ、その周辺箇所が赤くただれて炎症をおこす病気です。
患部を手や舌でさわるとピリピリとした痛みを感じますが、自覚症状がない場合もあります。
金属アレルギーを発症すると舌の表面にある味蕾(味を感じる器官)の機能に異常をきたし、飲食物の味を感じにくくなるケースがあります。
上記に加え、金属アレルギーは全身に症状がでることも珍しくありません。
口の中の銀歯が原因で全身に金属アレルギーがでる理由は、銀歯を使い続けると金属イオンが唾液に溶けだし、体内のたんぱく質と結合してアレルゲンを作りだすためです。
体内で作られたアレルゲンは汗とともに身体の外へと排出されます。汗にふくまれるアレルゲンが皮膚に付着するとアレルギー反応がおき、金属アレルギーを発症する、というメカニズムを持っています。
金属アレルギーが全身にでるときには主に以下のような病気を発症します。
金属アレルギーとの関係はまだはっきりと解明されてはいないのですが、銀歯などの歯科用金属がアトピー性皮膚炎や湿疹を発症する引き金になることが指摘されています。
脱毛はさまざまな原因によってひきおこされますが、現在では金属アレルギーが脱毛の引き金になる可能性が指摘されています。
掌蹠膿疱症とは手のひらや足の裏に膿のできもの(膿疱)が現れる病気です。
銀歯が口の中にある方が手のひらや足の裏に発疹ができ、皮膚がめくれるなどの症状が発生した場合は金属アレルギーが原因の可能性があります。
以上のような理由から保険で使用されるような金銀パラジュウム合金のような「イオン化しやすい」合金は世界的に使用しない方向になっています。(人口関節や金属の入れ歯に使用されるコバルトクロム合金、インプラント等に使用されるチタン合金はアレルギーが出にくいといわれています。)
アレルギー反応が心配な方は金属の使用に特に注意が必要です。
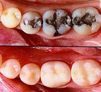
従来から歯科治療に使用されている、いわゆる「銀歯」。
これが原因で金属アレルギーやアトピー性皮膚炎を引き起こしているという例が確認されてきているのです。
メタルフリー治療では、この銀歯を含めた金属を一切使わずに治療を行います。
そのため、金属アレルギーやアトピー性皮膚炎といった病気を引き起こす心配がありません。
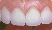
オールセラミックとは、金属を全く使用せずに、陶器のみでできた歯のことです。
裏側にも金属を使用していないので、歯肉の後退等で歯と歯ぐきの間に金属が露出(ブラックライン)してきたり、金属アレルギーの心配がありません。
また、歯科技工士が1本ずつ丁寧に作り上げるので、天然歯に限りなく近い色に仕上げることができます。
・金属を一切使用していない
・ブラックライン、金属アレルギーの心配がない
・天然歯に限りなく近い色を再現できる
セラミックインレーとは、金属を一切使わず、セラミックのみでできた詰め物のことです。
金属を一切使用しないため、金属アレルギーの心配がありません。
また、見た目は天然歯と同様に仕上げることができます。
・金属を一切使用していない
・金属アレルギーの心配がない
・天然歯と同様の見た目
ハイブリッドセラミックとは、セラミックとプラスチックを混ぜた材料で作られた素材です。
セラミックインレーよりも柔軟性があり、割れにくいのが特徴です。
セラミックインレーより低料金でできます。
しかし、色調は多少劣り、しばらく経つと変色します。
・セラミックインレーよりも柔軟性がある
・セラミックインレーより低料金
・割れにくい
・変色することがある
以下の写真のように、前歯が欠けてしまった場合、元通りキレイに治すのにも、審美歯科治療が行われます。

