
インプラント治療ではネジのような形をしたフィクスチャー(インプラント体)を患者さんのあごの骨に直接埋め込み、人工の歯根を作ります。
埋め入れたフィクスチャーはオッセオインテグレーションという現象によってあごの骨と強固に結合するため、非常に高い安定性があるのが特徴です。
インプラントは埋め入れたフィクスチャーが骨と結合するため安定性が非常に高く、食べ物をしっかりかめるようになります。
部分入れ歯や総入れ歯の場合、入れ歯が安定せずに口の中でグラグラしたり外れてしまうケースがありますが、インプラントは一度埋め入れたあとは外れることはまずありません。
保険で入れるブリッジや入れ歯は、使用できる素材に制限があり、銀歯であったり金属の針金が見えたりと不自然な見た目になります。
インプラントは人工歯の部分にセラミックなど高級な素材を使用しているため、自然な印象の白く美しい歯を再現できます。
人工歯根を埋め入れるため安定性が高く、見た目も自然でメリットが多いインプラント。
しかし、インプラント治療は外科的な手術を行う必要があるため、デメリットも存在しています。
当院のインプラントは、純国産の「プラトンインプラント」を使用しています。
日本人の顎骨形態にマッチしていて、良好な成績を収めている安心のシステムです。


インプラント手術を行う際は、器具の滅菌はもちろんのこと、同時に他の患者様の治療を行わない等、万全の準備の元で行います。
当院では、手術を安全に行えるよう、以下の設備を設置しています。

従来のレントゲンは2次元の平面図でしたが、歯科用CTでは、3次元で細部まで鮮明に映し出すことができるので、より正確な診断が可能となりました。
詳しくは、歯科用CTによる診断でより安全・正確な治療をページをご覧下さい。

インプラントや口腔外科等、手術を伴う治療の際、安全に進めるため生体情報モニターを使い、心電図・心拍数・血圧・体温といったバイタルサインをモニタリングしています。

心室細動という不整脈(心臓が細かくブルブルふるえていて、血液を全身に送ることができない状態)を起こしている場合に、強い電流を一瞬流して心臓にショックを与えること(電気ショック)で、心臓の状態を正常に戻す器械です。
電源を入れると、音声で手順を指示してくれるので、専門知識がない方でも使用することができます。
インプラントを長持ちさせるには、日々のメインテナンスが重要です。
当院では、患者様のインプラントが長持ちするよう、独自の予防・メインテナンスのプログラムを組んでいます。

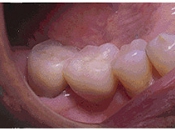
インプラント術前

インプラント術後
右下奥の歯のないところにインプラントを埋め込みました。
これまで反対側の歯や前歯でしか食事ができずイライラしていたようですが、インプラントが入って以来、おいしく食事ができるようになったようです。
インプラントの料金はこちら

そんな時は、インプラント併用義歯をおすすめいたします。
現在使用している義歯の改良補綴にも最適です。